У Львові пацієнту видалили тромби з легеневої артерії без відкритого втручання. Лікарі Лікарні Святого Пантелеймона застосували сучасну ендоваскулярну тромбаспірацію та врятували життя 70-річному чоловіку.
Про це повідомили в Першому медоб’єднанні Львова.
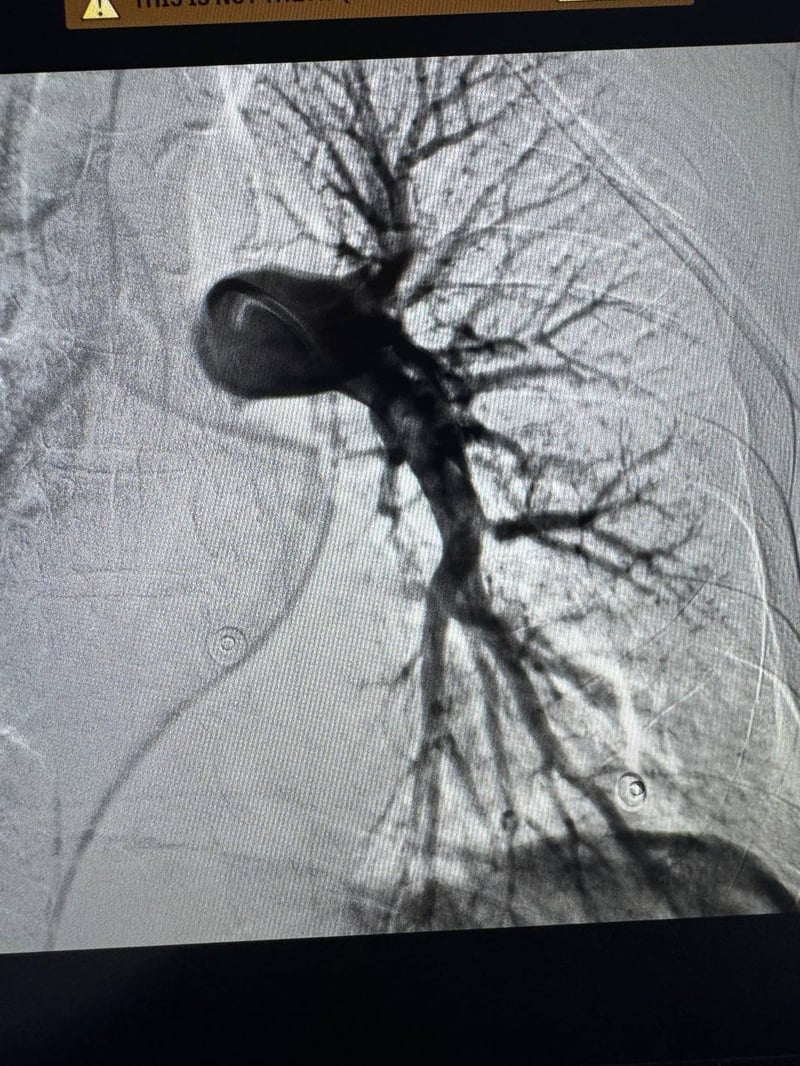
Пан Тарас звернувся до лікаря через сильну задишку після активних занять спортом. Обстеження виявило масивне скупчення тромбів у легеневій артерії, що могло спричинити раптову смерть. Чоловіка терміново доставили до Лікарні Святого Пантелеймона, де підтвердили діагноз — тромбоемболія легеневої артерії (ТЕЛА).
Інтервенційні кардіологи та анестезіологи виконали ендоваскулярну тромбаспірацію – малоінвазивне втручання, під час якого катетером дісталися до тромбів та видалили їх спеціальною аспіраційною системою. Пацієнт був при тямі й міг спілкуватися з лікарями.
Читайте також: В одній із дитячих лікарень Львова запрацював перший пес-терапевт (ВІДЕО)
«Перше, що я запитав: а чи буду я жити? Під час операції зі мною постійно говорили і казали: будете! І просто на столі я відчув неймовірне полегшення, вперше за багато днів зміг вдихнути на повні груди. Мене буквально дістали з того світу»,
— розповів пан Тарас.
На п’яту добу після втручання чоловіка виписали додому без скарг. Також уже планують його повернення до активного життя та спорту. Цим методом у лікарні врятували ще й другого пацієнта – військового з масивною тромбоемболією після мінно-вибухової травми.


Нагадаємо, що у Львові лікарі врятували 63-річного азербайджанця від ампутації ноги.
Фото: фейсбук-сторінка Першого медоб’єднання Львова